Apl Leukemia - Acute Promyelocytic Leukemia An Overview Sciencedirect Topics - Apl in italy has an annual incidence rate (frequency of occurrence of disease) of around 0.6 per 1 million populations.
Dapatkan link
Facebook
X
Pinterest
Email
Aplikasi Lainnya
Apl Leukemia - Acute Promyelocytic Leukemia An Overview Sciencedirect Topics - Apl in italy has an annual incidence rate (frequency of occurrence of disease) of around 0.6 per 1 million populations.. Acute promyelocytic leukemia (apl) is a subtype of acute myelogenous leukemia (aml) that has its own treatment options. Unlike other forms of acute myeloid leukemia, apl occurs most often in adults about 40 years old and older rather than adults 65 years of age or older. It develops in about 600 to 800 individuals each year in the united states, most often in adults around the age of 40. Apl is a subtype of the cancer acute myeloid leukemia (aml). Atra is given in combination with another drug called arsenic trioxide.
Acute promyelocytic leukemia (apl) is a blood cancer characterized by a marked increase in a type of white blood cells known as promyelocytes, a type of immature white blood cell. Around 1 percent of all childhood leukemias are apl, which is most often diagnosed in children of hispanic or mediterranean descent. It develops in about 600 to 800 individuals each year in the united states, most often in adults around the age of 40. About 4 to 8 percent of all childhood aml is acute promyelocytic leukemia. Acute promyelocytic leukemia (apl) is a subtype of acute myelogenous leukemia (aml) that has its own treatment options.
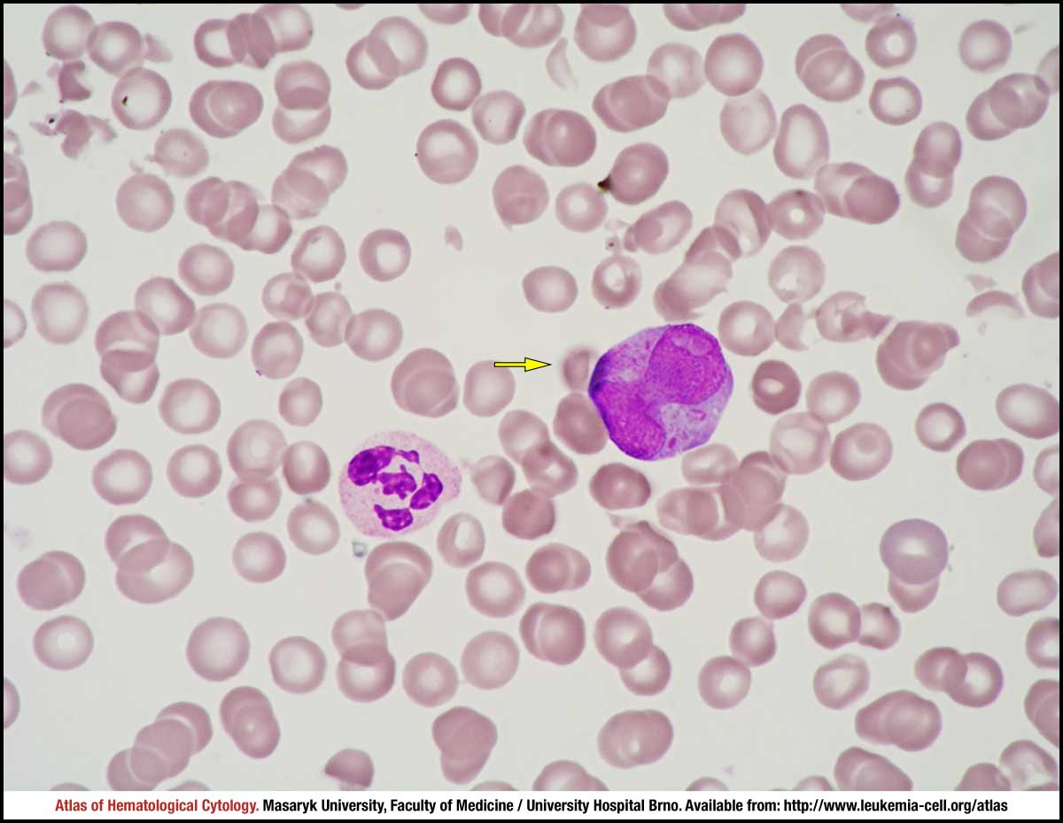
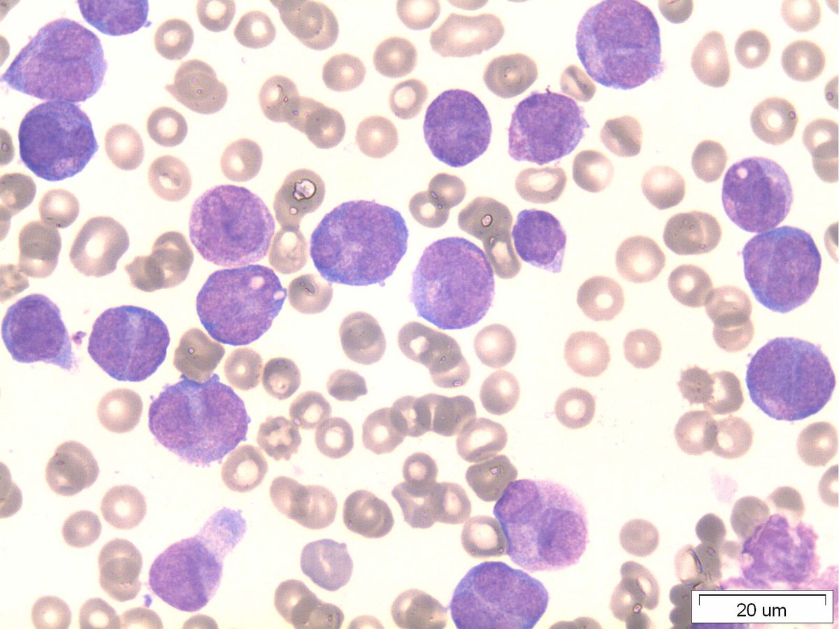
Histopathology Images Of Acute Promyelocytic Leukemia Aml M3 By Pathpedia Com Pathology E Atlas from www.pathpedia.com Acute promyelocytic leukemia (apl) is a subtype of acute myelogenous leukemia (aml) that has its own treatment options. Acute promyelocytic leukemia (apl) is an aggressive form of acute myeloid leukemia (aml), a cancer of the bone marrow. A buildup of promyelocytes leads to a shortage of other kinds of blood cells, including red cells, white cells, and platelets. Apl is due to a translocation (an exchange of chromosome material) between chromosomes 15 and 17 which is symbolized t (15;17). How common is acute promyelocytic leukemia? The genetic mutation causing apl is a chromosomal translocation between chromosomes 15 and 17, which results in creation of a fusion gene, pml/rara. Find out about experiences of patients diagnosed with acute myeloid leukemia. Acute promyelocytic leukemia (apl) is a blood cancer characterized by a marked increase in a type of white blood cells known as promyelocytes, a type of immature white blood cell.
A buildup of promyelocytes leads to a shortage of other kinds of blood cells, including red cells, white cells, and platelets.
About 4 to 8 percent of all childhood aml is acute promyelocytic leukemia. How common is acute promyelocytic leukemia? Pml is a protein normally involved in regulation of gene activity. However, the incidence of early death remains high, with 29% of apl patients dying within 30 days of their diagnosis; It is now possible to treat this disease without the use of traditional cytotoxic chemotherapy. Acute promyelocytic leukemia (apl) is characterized by a block in differentiation where leukemic cells are halted at the promyelocyte stage. What are your treatment options? Acute promyelocytic leukemia (apl) is an aggressive form of acute myeloid leukemia (aml), a cancer of the bone marrow. Apl is a subtype of the cancer acute myeloid leukemia (aml). This build up of promyelocytes leads to a shortage of normal white and red blood cells and platelets in the body. Apl cells have a very specific abnormality that involves chromosomes 15 and 17, leading to the formation of an abnormal fusion gene called pml/rarα. Acute promyelocytic leukemia (apl) is a subtype of acute myelogenous leukemia (aml) that has its own treatment options. Leukemia presenting as a severe bleeding disorder, with infiltration of the bone marrow by abnormal promyelocytes and myelocytes, a low plasma fibrinogen, and defective coagulation.
Leukemia presenting as a severe bleeding disorder, with infiltration of the bone marrow by abnormal promyelocytes and myelocytes, a low plasma fibrinogen, and defective coagulation. This mutated gene causes many of the features of the disease. Apl in italy has an annual incidence rate (frequency of occurrence of disease) of around 0.6 per 1 million populations. Acute promyelocytic leukemia (apl) is treated differently than other forms of acute myeloid leukemia. Acute promyelocytic leukemia (apl) is a distinct subtype of acute myeloid leukemia.
Ijms Free Full Text Autophagy New Insights Into Mechanisms Of Action And Resistance Of Treatment In Acute Promyelocytic Leukemia from www.mdpi.com Find out about experiences of patients diagnosed with acute myeloid leukemia. Living with acute myeloid leukemia acute myeloid leukemia (aml) pushes your bone marrow to make large numbers of abnormal and underdeveloped blood cells called. Acute promyelocytic leukemia (apl) is an aggressive type of acute myeloid leukemia (aml). It develops in about 600 to 800 individuals each year in the united states, most often in adults around the age of 40. Acute promyelocytic leukemia (apl) is a unique subtype of acute myeloid leukemia (aml). The age of onset of the disease is about 40 years. Commonly called apl, a malignancy of the bone marrow in which there is a deficiency of mature blood cells in the myeloid line of cells and an excess of immature cells called promyelocytes. Future approaches in adults with relapsed/refractory acute lymphoblastic leukemia.
Treatment for acute promyelocytic leukemia (apl) treatment options for apl that doesn't go away with initial treatment or that relapses depend on which treatments were used before, as well as other factors.
A buildup of promyelocytes leads to a shortage of other kinds of blood cells, including red cells, white cells, and platelets. Apl is a subtype of the cancer acute myeloid leukemia (aml). Unlike other forms of acute myeloid leukemia, apl occurs most often in adults about 40 years old and older rather than adults 65 years of age or older. Acute promyelocytic leukemia (apl) is a distinct subtype of acute myeloid leukemia. The fab classification refers to it as aml m3, whereas the present who classification lists it under acute myeloid leukemia with recurrent genetic abnormalities .leukemic blasts in apl have a characteristic morphology. Apl in italy has an annual incidence rate (frequency of occurrence of disease) of around 0.6 per 1 million populations. It develops in about 600 to 800 individuals each year in the united states, most often in adults around the age of 40. Around 1 percent of all childhood leukemias are apl, which is most often diagnosed in children of hispanic or mediterranean descent. Acute myelogenous leukemia is also known as acute myeloid leukemia, acute myeloblastic leukemia, acute granulocytic leukemia and acute nonlymphocytic leukemia. Acute promyelocytic leukemia (apl) is an aggressive form of acute myeloid leukemia (aml), a cancer of the bone marrow. The genetic mutation causing apl is a chromosomal translocation between chromosomes 15 and 17, which results in creation of a fusion gene, pml/rara. It is now possible to treat this disease without the use of traditional cytotoxic chemotherapy. Commonly called apl, a malignancy of the bone marrow in which there is a deficiency of mature blood cells in the myeloid line of cells and an excess of immature cells called promyelocytes.
The genetic mutation causing apl is a chromosomal translocation between chromosomes 15 and 17, which results in creation of a fusion gene, pml/rara. What are your treatment options? Acute promyelocytic leukemia (apl) is an aggressive form of acute myeloid leukemia (aml), a cancer of the bone marrow. Atra is given in combination with another drug called arsenic trioxide. Acute promyelocytic leukemia (apl) is a unique subtype of acute myeloid leukemia (aml).
Blood Picture Of Acute Promyelocytic Leukemia Or Apl Stock Image Image Of Myeloblast Blast 162687885 from thumbs.dreamstime.com Living with acute myeloid leukemia acute myeloid leukemia (aml) pushes your bone marrow to make large numbers of abnormal and underdeveloped blood cells called. This condition, which is characterized by severe bleeding disorders, results from the accumulation of immature white blood cells called promyelocytes in the blood and bone marrow. This build up of promyelocytes leads to a shortage of normal white and red blood cells and platelets in the body. Leukemia presenting as a severe bleeding disorder, with infiltration of the bone marrow by abnormal promyelocytes and myelocytes, a low plasma fibrinogen, and defective coagulation. Acute promyelocytic leukemia (apl) is a blood cancer characterized by a marked increase in a type of white blood cells known as promyelocytes, a type of immature white blood cell. Apl is due to a translocation (an exchange of chromosome material) between chromosomes 15 and 17 which is symbolized t (15;17). Acute promyelocytic leukemia (apl) is a distinct subtype of acute myeloid leukemia. What are your treatment options?
Apl causes an accumulation of promyelocytes in the bone marrow, which crowds out other normal cells in the blood.
Apl in italy has an annual incidence rate (frequency of occurrence of disease) of around 0.6 per 1 million populations. Commonly called apl, a malignancy of the bone marrow in which there is a deficiency of mature blood cells in the myeloid line of cells and an excess of immature cells called promyelocytes. This mutated gene causes many of the features of the disease. Acute promyelocytic leukemia (apl) is a subtype of acute myelogenous leukemia (aml) that has its own treatment options. Atra is given in combination with another drug called arsenic trioxide. The genetic mutation causing apl is a chromosomal translocation between chromosomes 15 and 17, which results in creation of a fusion gene, pml/rara. How common is acute promyelocytic leukemia? Acute promyelocytic leukemia (apl) belongs to the group of myeloid neoplasias. Acute promyelocytic leukemia (apl) is a subtype of acute myelogenous leukemia (aml), a cancer of the blood. In apl, there is an abnormal accumulation of immature granulocytes called promyelocytes.the disease is characterized by a chromosomal translocation involving the retinoic acid receptor alpha (rarα or rara) gene and is distinguished from other forms of aml by its. Acute promyelocytic leukemia gets its name from promyelocytes, immature white blood cells. The age of onset of the disease is about 40 years. Apl is due to a translocation (an exchange of chromosome material) between chromosomes 15 and 17 which is symbolized t (15;17).
Atv Xbox - MX vs. ATV Untamed - Xbox 360 | Review Any Game - Atv reflex for xbox 360. . Unleashed won't work on my xbox 360. Try prime hello, sign in account & lists sign in account. Atv reflex for xbox 360. Save on a huge selection of new and used items — from fashion to toys, shoes to electronics. Supercross for xbox 360, rip, jump and scrub your way around 17 tracks and try to cross the finishing line first against more than 40 official riders and harvest. Mx vs atv untamed (xbox 360) by thq. Find many great new & used options and get the best deals for xbox atv quad power racing 2 videogames at the best online prices at ebay! Save on a huge selection of new and used items — from fashion to toys, shoes to electronics. It's listed as a compatible gameon the xbox website, i have an official microsoft hard drive, and i've updated my xbox to the latest. Find your rider style at your private compound, free ride across massive environments. ...
V75 Index / Volatility Index Charts And Quotes Tradingview - Pcgs offers two ways to submit for grading and authentication. . Trading volatility 75 index is very dangerous and high profit, five pips or simple pullback can blow your accounts. 380 likes · 18 talking about this. This strategy is a combination of two meta trader 5 indicators. Volatility index 75 trading strategies pdf do you know you can start making money with volatility 75 even as a complete newbie this is an actual screenshot from my phone. You can add more strategy you know for the benefit of all. Explained (emphasis on volatility 75 index) strategy overview trading type: It is enough to work on one currency from 3 to 5 hours a day to get a stable profit. The ideal time frame for this strategy are 15 mins and 30 mins time frames. Support and resistance are always visible on any timeframe on your chart. 380 likes · 18 talking about this. ...
Ile De France Bus Map - RATP metro map - Map of RATP metro (France) - If you wish a transilien map of a specific line, check out the page of your line (in french). . Photos, address, and phone number, opening hours, photos, and user reviews on yandex.maps. Our interactive bus network map is designed to make your journeys easier; Compare bus companies and book your ticket at the best price. Plan bus ile de france. Printable & pdf maps of paris bus & night bus noctilien with informations about the ratp network map, the stations and the 400 lines & routes. The bus is a complementary means of public transport to the metro. Paris transportation zone map showing all 5 paris transit zones used to set public transportation prices for paris train, rer, metro, buses, trams. Ten lines are currently operational (counting lines 3a and 3b as separate lines), with extensions and additional lines in the planning and construction stage. 141151 bytes (137.84 kb), map dimen...
Komentar
Posting Komentar